O diagnóstico de doenças neurodegenerativas continua sendo um dos maiores desafios da medicina, já que sintomas semelhantes dificultam a diferenciação entre os diversos tipos de demência.
Uma pesquisa conduzida pela Mayo Clinic, nos Estados Unidos, apresentou um avanço significativo ao desenvolver o StateViewer, uma tecnologia de inteligência artificial (IA) capaz de identificar nove formas distintas de demência com 88% de precisão.
Como foi feito o estudo

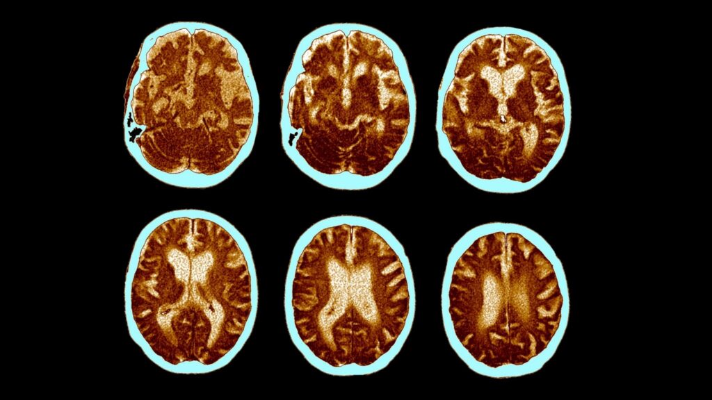
O trabalho, publicado na revista Neurology, avaliou 3.671 exames FDG-PET de homens e mulheres com média de idade de 68 anos. Parte dos participantes não apresentava alterações cognitivas, enquanto outros já conviviam com quadros mais graves.
A IA comparou os exames com um banco de dados de mais de 3.600 imagens cerebrais, reconhecendo padrões típicos de doenças como Alzheimer, demência por corpos de Lewy e demência frontotemporal.
Um dos diferenciais da tecnologia é a geração de mapas digitais coloridos que destacam as áreas do cérebro comprometidas, facilitando a análise mesmo para médicos que não são especialistas. Além disso, os exames puderam ser interpretados quase duas vezes mais rápido em comparação ao método tradicional.
Impacto do avanço
Detectar a demência ainda em fase inicial é essencial para que os tratamentos ofereçam melhores resultados. O StateViewer representa um passo importante nesse sentido, já que permite diagnósticos mais ágeis, precisos e acessíveis.
Entre os benefícios da ferramenta estão:
- Maior confiabilidade no diagnóstico;
- Redução do tempo de análise;
- Apoio a profissionais generalistas, ampliando o alcance do exame;
- Visualização clara de alterações cerebrais.
Perspectiva global
Segundo a Organização Mundial da Saúde (OMS), mais de 55 milhões de pessoas vivem atualmente com algum tipo de demência, e a cada ano surgem 10 milhões de novos casos. Diante desse cenário, tecnologias baseadas em inteligência artificial têm potencial para transformar a forma como os diagnósticos são feitos, oferecendo mais qualidade de vida a pacientes e familiares.

